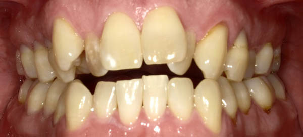
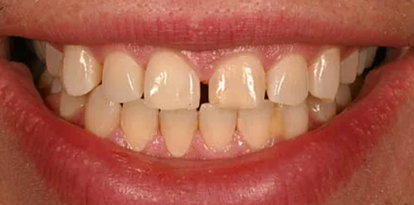
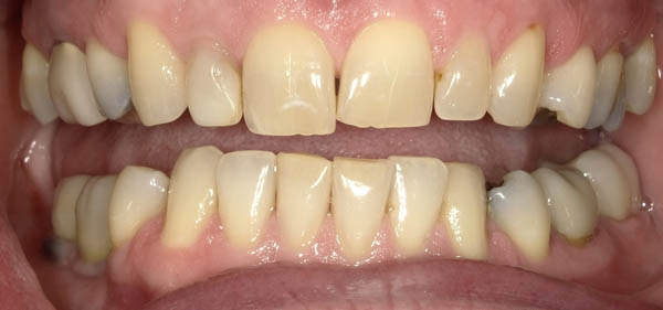
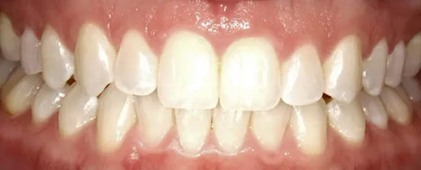
Smile Gallery

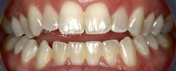
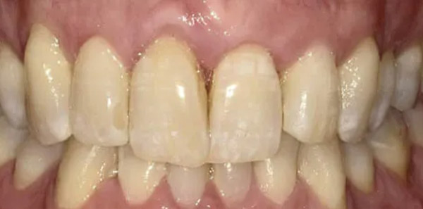
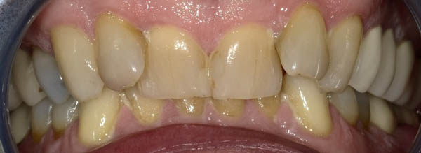
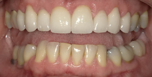
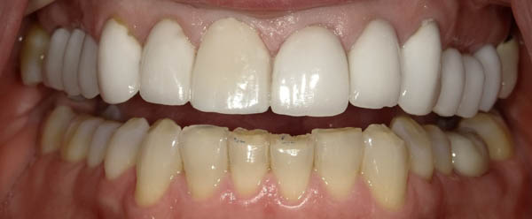
Veneers

Before imageAfter image
Before imageAfter image
Before imageAfter image

Invisalign

Before imageAfter image
Before imageAfter image
Before imageAfter image

Chao Pinhole® Gum Therapy

Before imageAfter image

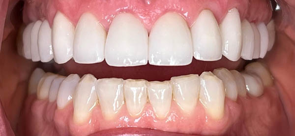
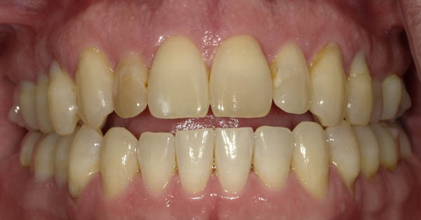
Smile Makeover

Before imageAfter image
Monday:
8:00am - 5:00pm
Tuesday:
10:00am - 7:00pm
Wednesday:
8:00am - 5:00pm
Thursday:
8:00am - 5:00pm
Friday:
8:00am - 5:00pm

Contact Us

(914) 337-8430

    New Patient?








    Office Hours

    Monday:
    8:00am - 5:00pm
    Tuesday:
    10:00am - 7:00pm
    Wednesday:
    8:00am - 5:00pm
    Thursday:
    8:00am - 5:00pm
    Friday:
    8:00am - 5:00pm

    Contact Us

    720+ Google Reviews

    4.9 stars